28.4.2020 - WEEK 2
One male is available, please contact us for more information.
20.4.2020 - WEEK 1
Kara gave birth to 8 beautiful puppies! We have 2 blond males, 3 black and tan males, 2 blond females and 1 black and tan female.
28.3.2020 - WE ARE EXPECTING PUPPIES!
At the end of January Kara's heat started and after the progesteron testing the weekend - 8. and 9.2.2020 - was the most suitable time for breeding.
Father of Kara's expected puppies is well known hungarian stud male, Pilisi-Hajnal Alfa, home called Bruno. He lives in Budapest with hsi wonderful owners. Bruno's health tests are all perfect, his show titles are great too, and what is the most important - he has a wonderful character.
He was very happy when we arrived - of course, how he would not be. The breeding was easy and it happened in a few moments.
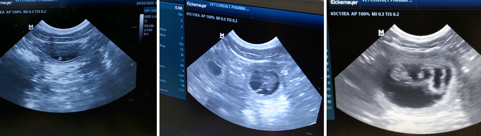
They usually say that time flies.. well, not when you have to wait 21 days on ultra examination to see, if the love adventure was sucessful. We are happy to announce that Kara is expecting her first litter on 11.4.2020. Feel free to contact us, we are already taking reservations for the puppies. We expect black&tan and blond puppies.
We take a very good care of Kara and she surely feels like a princess of our home. We have a lot of work - we are changing our garage to puppy room, so the "kids" will have plenty of space for their adventures until they are big enough to explore our garden.
We are looking forward meeting them.
18.1.2020 - NEW WEBSITE
We finally have a website. Welcome!
